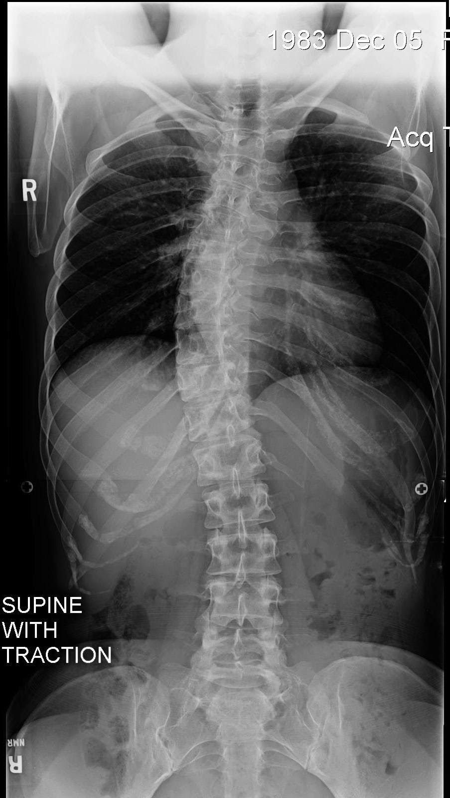
A couple weeks ago, I met with my Dr.'s nurse, and got all kinds of X-rays done, which will help Dr. map out my surgery plan.
I took creepy bending X-rays..
regular standing X-rays..
and an X-ray with two people pulling my arms and legs at both ends!
The nurse was super informative and provided answers to all our pending questions. I feel really confident in their team. She detailed every single aspect of pre-op and post-op, which is a relief. She went over all of the planning, medications, and preparations I will need to do prior to surgery. (Who knew I'd need to bathe in special wash for several days prior?)
My "call time" for surgery at Seton hospital is at 6am on 12/18. I'm terrified, but ready.
On 11/19, I also had my final meeting with the Dr. to discuss more details about the surgery.
That's when he dropped a major bomb on me to shake things up (in a good way!).
He asked me if he'd ever mentioned minimally invasive surgery before...which I told him he had not. Then he looked at my X-rays for several minutes and said, "I think we can do this surgery minimally invasive."
He said there would be less blood loss, less muscle being cut, and faster healing times! I was shocked. I didn't even think I was a candidate for the minimally invasive surgery. This is great news, but at the same time means that all the research I've done on the surgery will be a little bit off. All the healing times, expected progress timelines, etc will be different.
The only *con*, if you call it that, about the minimally invasive surgery would be that the Dr. doesn't have long term data to reference, as he's only been doing this type of surgery for a few years. He ultimately cannot tell me how patients are doing ten years post op, as there aren't any.
I'll be fused from approximately T3 - L3.
Pre-tty crazy! But I'm told that since L4 and L5 aren't being fused, that I'll still have a good range of flexibility.
The surgery is exactly two weeks away.....
How do I feel about that. Honestly, I've had a great deal of anxiety lately. I'm not regretting this decision or changing my mind by any means, but I'm plain just nervous. I've never had surgery and hate most things medical.
I'll get through this.
Onward. Onward.
Be brave.
-e




